Follett
Biologia / Chemia / Fizyka

Ilość artykułów: 5
To już jest koniec!
„Lost”, jeden z najgłośniejszych seriali ostatnich lat, właśnie się skończył. Finałowy epizod szóstego sezonu można było obejrzeć w poprzedni poniedziałek w telewizji ABC. Po sześciu latach i 121 odcinkach historia została ostatecznie (miejmy nadzieję) zakończona. Cieszyć się? Rozpaczać? A może po prostu nadal, po 6 latach, udawać, że „Lost” dla współczesnej popkultury nie jest w gruncie rzeczy niczym istotnym i wkrótce odejdzie w zapomnienie?
Ostatni łyk powietrza
Temat homoseksualizmu w kinie jest obecny już od początku XX wieku. Przez pierwsze trzy dekady postać homoseksualisty występowała jedynie w konwencji komediowej, gdzie gej był zawsze osobą zniewieściałą, ofiarą losu, która nie mogła dorównać prawdziwym ekranowym macho. Dla ówczesnych reżyserów większej różnicy między pojęciami „homoseksualista” a „transseksualista” nie było, więc ekranowi geje, ku uciesze widzów, zakładali często blond peruki, spódnice i malowali usta czerwoną szminką. Przerysowana gestykulacja, wysoki głos i aparycja przypominająca raczej kobietę niż mężczyznę, to obraz, który utrwalił się w ludzkiej świadomości i w niektórych kręgach społecznych jest w niej niestety obecny do dzisiaj.
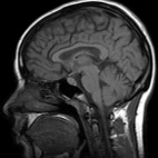
Głosy wśród zgliszczy?
Czym jest śmierć mózgowa? Czy jest to pojęcie dość powszechnie znane, pytają jego krytycy i zaraz odpowiadają, że wcale nie. Ludzie akceptują je bezmyślnie, zwalniając się tym samym z odpowiedzialności. Z drugiej strony, dla krytyków owego pojęcia, temat słuszności bądź niesłuszności nowych kryteriów śmierci człowieka jest praktycznie nieobecny. W ich opinii problem polega na tym, że śmierć mózgowa ma niewiele wspólnego ze śmiercią w potocznym rozumieniu oraz że nie jest ona śmiercią w ogóle.
„Moon”: zapraszam na ciemną stronę księżyca.
We współczesnym kinie niezależnym ze świecą można szukać filmów science-fiction. Nie jest to co prawda tendencja zaskakująca, nie odkrywam też nią żadnego nowego kontynentu, jednak filmy science-fiction zwyczajnie odstraszają offowych reżyserów. No bo przecież w ostatnich latach jesteśmy przyzwyczajeni do tego, że kiedy w mainstreamie słowa science i fiction spotykają się w jednym zdaniu, to film nie musi być ani głęboki, ani specjalnie przemyślany: po prostu musi być cool.
"Avatar", czyli nie dajmy się zwariować
- 40% tego stusześćdziesięciojednominutowego filmu to gra aktorska zarejestrowana zwykłymi kamerami, pozostałe 60% to obraz wygenerowany komputerowo. 100% filmu zostało zrealizowane w technologii 3D;
- „Avatar” to jeden z najdroższych filmów w historii kina. Jego budżet szacuje się na 280 milionów dolarów;
- 1



















